服务详情
以下是关于 Von Kossa 染色的详细介绍:
基本信息
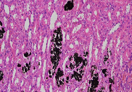
定义:Von Kossa 染色是一种特殊的组织学染色技术,用于检测组织和样本中的钙盐沉积,尤其是磷酸钙
染色原理:利用银离子与组织中的磷酸钙盐或碳酸钙盐发生反应,在酸性条件下,钙盐中的钙离子被银离子取代,形成磷酸银或碳酸银沉淀。这些银盐沉淀在光照条件下,会发生光化学降解反应,被还原为黑色的金属银颗粒,从而使钙盐沉积部位在显微镜下呈现黑色或棕黑色,与周围未钙化的组织形成鲜明对比。
染色步骤
样本制备:通常使用福尔马林固定组织样本,然后将其嵌入石蜡中,再用切片机切成 4-6 微米厚的切片。
脱蜡水化:将切片依次放入二甲苯 Ⅰ、二甲苯 Ⅱ 中各 20 分钟以去除石蜡,再依次经过无水乙醇 Ⅰ、无水乙醇 Ⅱ 各 5 分钟,75% 酒精 5 分钟进行水化,最后用自来水和蒸馏水冲洗干净。
染色处理:把切片浸泡在含 5% 硝酸银的溶液中,暴露于光源下,时间通常为 15-60 分钟,具体取决于钙化程度和组织类型。
冲洗切片:用蒸馏水冲洗切片,以去除未反应的银离子。
核染色(可选):使用核快红或赫马托氏蓝等染料对细胞核进行染色,以提供更好的组织对比和细节观察。
脱水透明:将切片通过浓度递增的乙醇系列进行脱水,再用二甲苯进行透明化处理。
封片观察:用透明封片胶将切片封片,然后置于显微镜下观察,记录钙盐的沉积情况。














